Trattamenti ortodontico-chirurgici
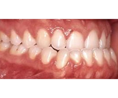
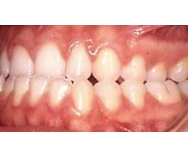
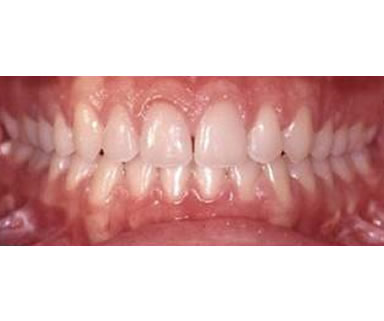
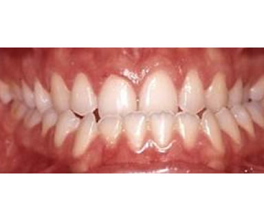
Asimmetria
Si parla di asimmetria quando la mandibola (più frequentemente) risulta deviata da un lato rispetto al mascellare superiore. Ne consegue una asimmetria facciale quando il paziente viene osservato di fronte.
Anche in questo caso bisogna attendere la fine della crescita per poter risolvere con successo il caso. Il trattamento prevede il trattamento ortodontico per allineare i denti all’interno di ciascuna base ossea mascellare e un intervento di chirurgia maxillo-facciale di riposizionamento delle ossa mascellari.
Prima e Dopo
VEDI ANCHE:
II Classe - III Classe
